Services

Data Science and Artificial Intelligence

We develop state of the art machine learning solutions for our clients. We have a broad experience in artificial intelligence frameworks for python like, TensorFlow and PyTorch. We provide services within computer vision, medical image analysis, data infrastructure, data cleaning, bioinformatics, deep Learning, machine learning and much more on both structured and unstructured data. In previously projects we have worked with medical image segmentation, automated diagnosis on medical images, unsupervised learning, and abnormality detection.

We provide consulting services in form of advisory and an extra hand with all kinds of data science work including implementation and deployment of machine learning models and general agile software development.

Biomedical Data Knowledge

In order to do data science on a high level, specific domain knowledge is required. We believe that the combination of medical science and engineering is the key to understand and solve medical problems using data science and artificial intelligence. In order to ensure high level of biomedical data domain knowledge our clients have extensive experience and education within the cross-field between medical science, computer science and engineering. 

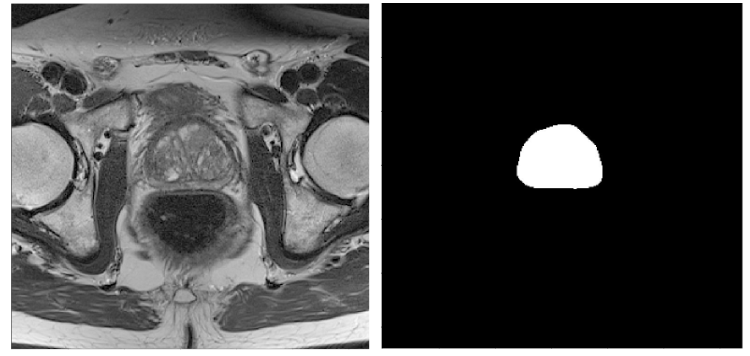
We provide scientific advisory and consultancy for various scientific tasks including planning of experiments, presentations of research, paper writing, hypothesis generation, statistical analysis, problem detection, problem solving and education in applied data science. In the images below you will find examples of the outcome of previous projects.

Nuclei Segmentation in H&E images

Nuclei and cytoplasma segmentation in brightfield images

Segmentation of the prostate in 3D MRI

Please do not hesitate to contact us and learn more about what we can do with your data!